Clear Aligners and Impacted Maxillary Canines: Managing Difficult Tooth Eruptions
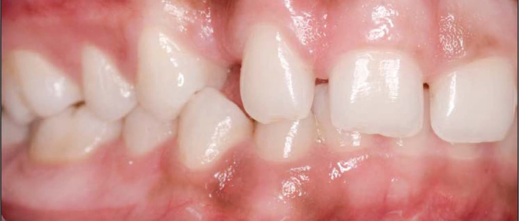
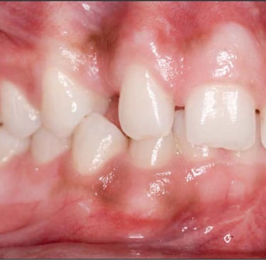
Impacted maxillary canines—where the upper canine teeth fail to erupt properly—are a challenging issue for orthodontists, affecting roughly 1-2% of the population. These teeth play a crucial role in your bite and aesthetics, but when they remain impacted, they can cause crowding, misalignment, and damage to adjacent teeth. While traditional braces have been the standard treatment, clear aligners are now gaining popularity as a more discreet and comfortable option. However, treating impacted canines with aligners comes with specific challenges that require careful management.
Azeem Jameel
10/14/20243 min read


Clear Aligners and Impacted Maxillary Canines: Managing Difficult Tooth Eruptions
Impacted maxillary canines—where the upper canine teeth fail to erupt properly—are a challenging issue for orthodontists, affecting roughly 1-2% of the population. These teeth play a crucial role in your bite and aesthetics, but when they remain impacted, they can cause crowding, misalignment, and damage to adjacent teeth. While traditional braces have been the standard treatment, clear aligners are now gaining popularity as a more discreet and comfortable option. However, treating impacted canines with aligners comes with specific challenges that require careful management.
Why Are Impacted Canines Challenging?
Impacted maxillary canines are difficult to treat because of their deep position in the jaw and the need for precise forces to move them into place. For treatment to succeed, the canine must be guided slowly along its eruption path while creating enough space for it in the dental arch. Traditionally, braces with their ability to exert stronger and more controlled forces have been preferred. However, advancements in aligner technology are making clear aligners a viable option, especially for patients who prioritize aesthetics.
Challenges of Treating Impacted Canines with Clear Aligners
1. Force Control and Anchorage
One of the key limitations of clear aligners is their ability to apply the consistent and directed forces needed to move impacted canines. These teeth often require more complex force mechanics than aligners can provide on their own. To compensate, orthodontists may use temporary anchorage devices (TADs) or other tools to ensure enough force is applied to guide the tooth.
2. Surgical Exposure and Attachments
For many impacted canines, surgical exposure is necessary. This involves uncovering the tooth and attaching a bracket or button to help guide it into alignment. Aligners must be carefully adjusted with custom attachments bonded to the tooth to maintain control. As the tooth moves, aligners often require several refinements to accommodate the changing position of the canine, making the process more time-intensive.
3. Space Creation
Another key challenge is creating space for the impacted canine to emerge. Clear aligners can shift adjacent teeth to open up room, but this needs to be done with precision to avoid moving other teeth unintentionally. The sequential nature of aligner treatment allows for gradual space creation, but careful monitoring is essential to ensure successful alignment.
How Clear Aligners Can Assist with Impacted Canines
Despite these challenges, clear aligners offer several significant advantages:
1. Customized Attachments and Precision Cuts
Aligners use specialized attachments to help guide tooth movements. These custom-made attachments are bonded to the surface of the teeth and allow for better control of difficult movements like canine extrusion. Recent innovations in aligner technology, such as precision cuts and enhanced attachment designs, have improved their ability to handle more complex cases like impacted canines.
2. Sequential Space Creation and Control
Clear aligners allow for step-by-step space creation, which is essential for guiding impacted canines into the proper position. As aligners progressively shift neighboring teeth, the tooth’s path is cleared for eruption. Studies show that when combined with surgical exposure, aligners can be just as effective as traditional braces in managing these cases.
3. Enhanced Comfort and Compliance
One of the main benefits of clear aligners is patient compliance. Aligners are more comfortable and less visible than braces, encouraging patients to wear them as prescribed. Research has shown that higher compliance rates with aligners lead to more successful outcomes, even in complex cases like impacted canines.
4. Use of Auxiliary Devices
In cases requiring additional force or control, orthodontists can combine aligners with auxiliary devices like TADs or elastics. These devices provide the extra anchorage and precision needed to move impacted canines effectively while still allowing patients the comfort and discretion of aligners.
Recent Research Insights
A 2024 study published in the Journal of Clinical Orthodontics confirmed that clear aligners are an effective treatment option for mild to moderate impactions, especially when combined with surgical exposure and auxiliary devices. The study showed that clear aligners offer similar outcomes to braces for impacted maxillary canines, particularly in terms of space creation and tooth movement precision.
Additionally, a case study from early 2024 demonstrated the successful treatment of a severely impacted canine using clear aligners alongside TADs. The treatment was completed in 18 months, with significant improvements in both dental function and aesthetics.
Conclusion
While impacted maxillary canines present a challenging situation in orthodontics, clear aligners are proving to be an increasingly effective option. When managed with careful planning, surgical interventions, and auxiliary tools, aligners can deliver both the desired aesthetic and functional results. Though braces may still be the go-to solution for severe cases, clear aligners offer a discreet, comfortable alternative for many patients with impacted canines, especially when combined with the latest technological advancements.

Connect
Social Accounts
+1 830 7451 586
Building 595, Block H3, Phase 2
Johar town, Lahore Pakistan
Address
Mail at:
Call at:


ClearCare Ortho offers premium-quality, exceptionally clear, and affordable orthodontic aligner treatments worldwide.
© 2023 Copyright ClearCare Ortho All Right Reserved.
info@clearcareortho.com
