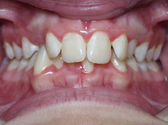
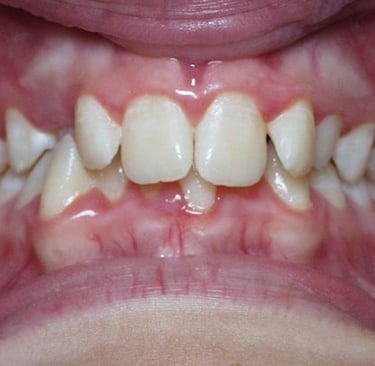
Clear Aligners for Impacted Canines: From CBCT Diagnosis to Surgical Alignment
This article explores the diagnostic pathway from CBCT to surgical alignment, with an emphasis on the role of aligners in managing impacted canine cases.
Azeem Jameel
4/8/20254 min read


Clear Aligners for Impacted Canines: From CBCT Diagnosis to Surgical Alignment
Introduction
The management of impacted canines has long been one of the most challenging areas in orthodontics. Traditionally, this has required invasive surgical approaches alongside conventional fixed appliances. However, advancements in diagnostic imaging and the use of clear aligners have led to new, more predictable, and less invasive treatment protocols. In particular, the integration of Cone Beam Computed Tomography (CBCT), 3D imaging, and Temporary Anchorage Devices (TADs) has revolutionized how impacted canines are diagnosed, planned, and treated using clear aligners. This article explores the diagnostic pathway from CBCT to surgical alignment, with an emphasis on the role of aligners in managing impacted canine cases.
1. The Role of CBCT in Diagnosis and Treatment Planning
Clear aligners offer a discrete, comfortable alternative to traditional braces, but their use in complex cases, such as impacted canines, requires meticulous planning. The first step in this process is accurate diagnosis, and this is where CBCT imaging becomes essential.
Recent 2025 research has demonstrated the importance of 3D imaging in assessing the position of impacted canines and the surrounding anatomical structures. CBCT provides a detailed, three-dimensional view of the maxillofacial region, allowing orthodontists to evaluate the exact location of the canine, its relation to adjacent teeth, and the amount of space available for eruption. It also helps identify potential complications such as root resorption or proximity to the maxillary sinus, which can influence treatment strategies.
The data obtained from CBCT scans are integrated with digital treatment planning software, providing a precise view of the impacted tooth's trajectory and facilitating the creation of customized aligner plans. The ability to virtually plan the path of eruption and visualize tooth movements in 3D has significantly improved the predictability of aligner-based treatment for impacted canines.
2. Clear Aligners and Traction Protocols
Once the diagnosis is confirmed through CBCT and 3D imaging, the next step is determining the appropriate treatment protocol. While the concept of using aligners to treat impacted canines is not new, recent advancements have significantly enhanced their effectiveness.
Aligner-based treatment for impacted canines generally involves a combination of controlled, gradual movements to create space, along with auxiliary attachments such as TADs (Temporary Anchorage Devices). These devices are placed strategically in the oral cavity to provide additional anchorage and prevent unwanted tooth movement, allowing for the targeted traction of the impacted canine.
Recent studies highlight that incorporating TADs with clear aligners offers a non-invasive alternative to traditional methods like palatal expanders or the use of conventional braces. The synergy between aligners and TADs allows for more precise control of tooth movement, especially in cases involving more severe impactions. This approach reduces the need for surgical interventions and minimizes discomfort for patients.
3. Surgical Considerations and Aligners in Surgical Alignment
While the goal of clear aligners and TADs is to avoid surgery, in some cases, surgical intervention may still be necessary to facilitate the eruption of the impacted canine. If the canine remains in a high or deep impaction, surgical exposure may be required to attach an orthodontic bracket or chain to the tooth. In these situations, clear aligners can still play a crucial role in post-surgical alignment.
Post-surgical treatment typically involves using clear aligners to fine-tune the position of the canine and surrounding teeth, enhancing both function and esthetics. Clear aligners allow for gentle, controlled movements following surgery, reducing the need for extensive bracket-based treatment after the exposure procedure. Furthermore, patients find clear aligners more comfortable than traditional braces, especially in the post-surgical healing phase.
4. Advantages of Aligners in Impacted Canine Treatment
The use of clear aligners in managing impacted canines offers several key benefits:
Minimal Aesthetic Impact: Clear aligners provide a discrete, less noticeable treatment option compared to traditional braces, which is particularly appealing to adult patients.
Patient Comfort: Aligners are custom-made to fit snugly over the teeth, providing greater comfort with less irritation to the soft tissues of the mouth.
Reduced Treatment Time: The integration of advanced diagnostic tools like CBCT and digital treatment planning software enables more accurate and efficient treatment protocols, potentially reducing the overall treatment time compared to conventional methods.
Predictability: The ability to plan tooth movement with high precision through 3D imaging and digital modeling enhances treatment predictability, particularly in complex cases involving impacted canines.
5. The Future of Clear Aligners in Impacted Canine Treatment
The ongoing development of aligner technology, in combination with more advanced diagnostic tools, is likely to continue shaping the future of orthodontics. Research in 2025 indicates that advancements in material science and the refinement of treatment protocols will further increase the effectiveness of aligners in treating a wider range of malocclusions, including impacted canines.
Moreover, as more data becomes available from long-term studies, the orthodontic community will gain deeper insights into the long-term stability of canine eruption and alignment achieved through clear aligners. As techniques evolve, clear aligners may become the first-line treatment for impacted canines, offering patients a less invasive, more comfortable solution with excellent outcomes.
Conclusion
The integration of CBCT, 3D imaging, TADs, and clear aligners represents a significant leap forward in the treatment of impacted canines. By combining advanced diagnostic tools with non-invasive treatment options, orthodontists can offer patients a more comfortable, efficient, and aesthetically pleasing solution. With continued research and technological advancements, clear aligners are poised to become the go-to solution for managing impacted canines, providing a less invasive alternative to traditional orthodontic treatments while maintaining the high standards of care that patients expect.

Connect
Social Accounts
+1 830 7451 586
Building 595, Block H3, Phase 2
Johar town, Lahore Pakistan
Address
Mail at:
Call at:


ClearCare Ortho offers premium-quality, exceptionally clear, and affordable orthodontic aligner treatments worldwide.
© 2023 Copyright ClearCare Ortho All Right Reserved.
info@clearcareortho.com
