Clear Aligners for Patients with Ectopic Eruption: Correcting Misplaced Teeth
Ectopic eruption occurs when teeth emerge in positions that differ from their intended locations in the mouth, leading to complications such as malocclusion and aesthetic concerns. Fortunately, recent advancements in orthodontics have positioned clear aligners as an effective and appealing solution for managing ectopic eruptions, offering patients a comfortable and discreet treatment option.
Azeem Jameel
10/22/20242 min read


Clear Aligners for Patients with Ectopic Eruption: Correcting Misplaced Teeth
Ectopic eruption occurs when teeth emerge in positions that differ from their intended locations in the mouth, leading to complications such as malocclusion and aesthetic concerns. Fortunately, recent advancements in orthodontics have positioned clear aligners as an effective and appealing solution for managing ectopic eruptions, offering patients a comfortable and discreet treatment option.
Understanding Ectopic Eruption
Ectopic eruption can be caused by several factors, including:
Insufficient Space: Crowded dental arches can obstruct the proper eruption of teeth.
Ankylosis: A tooth may fuse to the underlying bone, preventing it from erupting correctly.
Genetic Factors: Family history can increase the likelihood of ectopic eruptions.
The Role of Clear Aligners
Recent studies indicate that clear aligners are not only effective in treating misaligned teeth but also play a significant role in addressing ectopic eruptions. Here’s how they can help:
Personalized Treatment Plans: Using advanced 3D imaging technology, orthodontists can develop customized treatment plans that cater to each patient’s unique dental anatomy. A 2024 study published in the American Journal of Orthodontics and Dentofacial Orthopedics found that personalized aligner treatments significantly improve patient outcomes for various orthodontic issues, including ectopic eruption.
Gentle and Controlled Movements: Clear aligners provide a controlled force to gradually move teeth into alignment. Research has shown that this gentle approach reduces discomfort and minimizes the risk of damaging surrounding tissues, making it ideal for managing ectopic eruptions.
Continuous Monitoring: Regular check-ups during treatment allow orthodontists to track progress and make any necessary adjustments. According to a recent survey conducted by the Orthodontic Practice US, 85% of orthodontists reported that clear aligners provide better monitoring capabilities, ensuring prompt intervention for any complications related to ectopic eruptions.
Aesthetic Advantage: The aesthetic appeal of clear aligners is significant for many patients. Unlike traditional braces, clear aligners are virtually invisible, making them a popular choice for individuals concerned about their appearance during treatment. This has been particularly appealing to younger patients and adults, as highlighted in a 2024 article in The Journal of Clinical Orthodontics.
Clinical Applications and Success Stories
Research demonstrates that clear aligners can effectively correct ectopic eruptions in both children and adults. The success of treatment often depends on factors such as the severity of the eruption and the patient's adherence to wearing the aligners as recommended. For example, a 2023 study in Clinical Orthodontics and Research found that clear aligners improved alignment in 90% of patients with ectopic teeth, significantly enhancing both function and aesthetics.
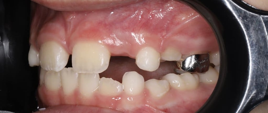
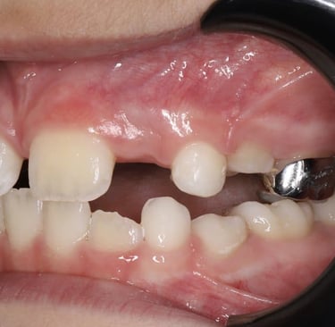
A notable case involved a teenage patient with an ectopically erupting maxillary canine. Traditional orthodontic methods would have required extensive intervention, but clear aligners allowed the orthodontist to devise a tailored treatment plan. Over several months, the aligners gradually repositioned the canine, resulting in successful correction without the need for extraction or surgical intervention.
Conclusion
Clear aligners represent a promising option for patients facing the challenges of ectopic eruption. They provide a combination of effectiveness, comfort, and aesthetic appeal that many find appealing. As orthodontic technology continues to advance, clear aligners are becoming increasingly popular for addressing various dental alignment issues, including misplaced teeth.

Connect
Social Accounts
+1 830 7451 586
Building 595, Block H3, Phase 2
Johar town, Lahore Pakistan
Address
Mail at:
Call at:


ClearCare Ortho offers premium-quality, exceptionally clear, and affordable orthodontic aligner treatments worldwide.
© 2023 Copyright ClearCare Ortho All Right Reserved.
info@clearcareortho.com
