Clear Aligners for Patients with Peg-Shaped Teeth: Aesthetic and Functional Solutions
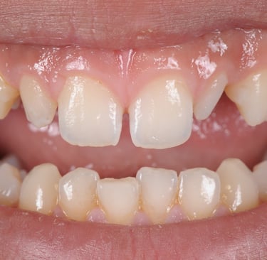
Peg-shaped teeth, often seen in the lateral incisors, present both aesthetic and functional challenges for patients. These teeth are typically smaller and more pointed, disrupting the uniformity of a smile and potentially affecting the bite. Traditionally, braces have been the go-to solution for such cases, but today, clear aligners offer a modern, effective, and less invasive alternative. Not only can they improve the alignment of peg-shaped teeth, but they can also enhance the overall smile in a way that blends functionality and aesthetics.
Azeem Jameel
10/13/20244 min read


Clear Aligners for Patients with Peg-Shaped Teeth: Aesthetic and Functional Solutions
Peg-shaped teeth, often seen in the lateral incisors, present both aesthetic and functional challenges for patients. These teeth are typically smaller and more pointed, disrupting the uniformity of a smile and potentially affecting the bite. Traditionally, braces have been the go-to solution for such cases, but today, clear aligners offer a modern, effective, and less invasive alternative. Not only can they improve the alignment of peg-shaped teeth, but they can also enhance the overall smile in a way that blends functionality and aesthetics.
In this article, we’ll explore how clear aligners are used to address peg-shaped teeth, incorporating recent research and highlighting the combined benefits for both form and function.
Understanding Peg-Shaped Teeth
Peg-shaped teeth are a form of dental anomaly where one or more teeth, usually the lateral incisors, are underdeveloped, conical, or pointy in shape. This can lead to noticeable gaps, irregular tooth spacing, and misalignment. Although peg-shaped teeth are often harmless, they can affect a person's confidence and bite mechanics.
Recent Research on Peg-Shaped Teeth
A 2024 study published in The Journal of Aesthetic Dentistry emphasizes that while peg-shaped teeth are primarily aesthetic concerns, they can also lead to functional issues like malocclusion. Addressing both aspects through a comprehensive treatment plan is essential for long-term success in patients seeking aesthetic improvements alongside better oral function.
How Clear Aligners Can Help
Clear aligners have gained popularity for their ability to treat a wide range of orthodontic issues, including peg-shaped teeth. Here’s how clear aligners offer both aesthetic and functional solutions:
1. Improving Alignment and Closing Gaps
Peg-shaped teeth often result in uneven spacing, particularly between the smaller peg-shaped tooth and its neighboring teeth. Clear aligners can help shift the surrounding teeth into better alignment, closing gaps and improving the overall symmetry of the smile. By applying gentle, controlled force, clear aligners move the teeth over time to achieve a more uniform appearance.
This approach not only enhances the aesthetics but also improves the patient’s bite, as proper alignment ensures that teeth make better contact during chewing.
2. Combining with Restorative Treatments
For many patients, the best results come from combining clear aligner treatment with restorative dentistry. Once the teeth are aligned, a restorative treatment like composite bonding, veneers, or crowns can be applied to peg-shaped teeth to create a more natural size and shape. Clear aligners set the stage for these cosmetic enhancements by ensuring the correct spacing and positioning of the teeth.
Composite bonding, for example, involves adding tooth-colored material to peg-shaped teeth to increase their size, while veneers offer a more permanent solution by covering the front of the tooth for an even, polished look. Both treatments are made more effective when clear aligners have first corrected the alignment.
3. Addressing Functional Issues
Beyond aesthetics, peg-shaped teeth can sometimes contribute to functional problems, particularly when they lead to gaps or malocclusion (a misaligned bite). Improper bite alignment can cause uneven pressure during chewing, leading to discomfort or even TMJ (temporomandibular joint) disorders in more severe cases. Clear aligners help resolve these functional issues by aligning the teeth properly, improving how the teeth fit together.
A 2024 orthodontic review highlighted the efficiency of clear aligners in addressing mild to moderate malocclusion in patients with peg-shaped teeth. The study concluded that when used in combination with restorative procedures, clear aligners are highly effective in providing both aesthetic and functional improvements.
4. Customization and Precision
Clear aligners are highly customizable, making them a perfect option for cases with unique dental needs, such as peg-shaped teeth. Using advanced 3D scanning technology, orthodontists can create a precise treatment plan tailored to the patient's specific anatomy. This level of customization allows clear aligners to target the alignment issues caused by peg-shaped teeth without affecting the patient's overall dental health.
The Role of Pre-Restorative Orthodontics
In many cases, clear aligners serve as a preparatory step for more comprehensive cosmetic treatment. After the teeth are aligned, patients often undergo restorative procedures to further improve the size and shape of their peg-shaped teeth. Pre-restorative orthodontics ensures that the surrounding teeth are properly aligned, making it easier for the dentist to place crowns, veneers, or perform bonding on peg-shaped teeth.
Benefits of Combining Treatments
Better Aesthetic Results: Aligning teeth before cosmetic enhancements leads to a more natural and harmonious smile.
Enhanced Functionality: A properly aligned bite reduces the risk of future dental issues such as uneven wear on the teeth or jaw strain.
Long-Term Stability: Clear aligners help maintain the results of cosmetic treatments by ensuring the teeth remain in their new positions over time.
Practical Applications and Patient Outcomes
Clear aligners have transformed the treatment landscape for patients with peg-shaped teeth. They offer a discreet, comfortable option that can be easily integrated into a patient's daily routine. Since aligners are removable, patients can continue their normal oral hygiene practices without interruption, which is particularly important for those who may also require restorative work.
Research from The Orthodontic Journal in 2024 shows that patients who opted for clear aligners, followed by restorative treatments for their peg-shaped teeth, reported higher satisfaction rates in both aesthetic and functional outcomes compared to traditional braces. The study emphasized that clear aligners allow for a minimally invasive approach with excellent long-term results.
Conclusion
Clear aligners present a unique opportunity to address both the aesthetic and functional challenges posed by peg-shaped teeth. Whether used alone or in combination with restorative treatments like bonding or veneers, they offer a tailored, modern solution that prioritizes both beauty and function.
For patients with peg-shaped teeth looking for a discreet yet effective option to improve their smile, clear aligners are a powerful tool backed by recent advancements in orthodontic technology.
In consultation with an orthodontist or dental professional, patients can explore a treatment plan that ensures optimal results for their unique dental needs.
2024 Insights: What the Latest Research Says
Recent studies confirm that clear aligners are increasingly favored for their versatility and ability to address more complex dental issues, including cases with peg-shaped teeth. With ongoing innovations in clear aligner technology, patients can expect even greater precision, shorter treatment times, and enhanced aesthetic outcomes moving forward.
If you're considering clear aligners for peg-shaped teeth or any other dental concern, consult with a professional to find the most up-to-date treatment options.

Connect
Social Accounts
+1 830 7451 586
Building 595, Block H3, Phase 2
Johar town, Lahore Pakistan
Address
Mail at:
Call at:


ClearCare Ortho offers premium-quality, exceptionally clear, and affordable orthodontic aligner treatments worldwide.
© 2023 Copyright ClearCare Ortho All Right Reserved.
info@clearcareortho.com
