Clear Aligners in Treating Patients with Mesiodens: Managing Extra Teeth in the Midline
Mesiodens, a supernumerary tooth located between the two upper central incisors, is a relatively rare but impactful dental anomaly. This extra tooth can disrupt the natural eruption of nearby teeth, lead to crowding, and present aesthetic challenges. While traditional braces have long been the standard treatment, recent advancements in clear aligner technology offer a promising alternative. This article explores how clear aligners can be used to manage mesiodens effectively, incorporating insights from the latest research on clear aligner therapy and its application in complex dental cases.
Azeem Jameel
10/21/20244 min read


Clear Aligners in Treating Patients with Mesiodens: Managing Extra Teeth in the Midline
Introduction
Mesiodens, a supernumerary tooth located between the two upper central incisors, is a relatively rare but impactful dental anomaly. This extra tooth can disrupt the natural eruption of nearby teeth, lead to crowding, and present aesthetic challenges. While traditional braces have long been the standard treatment, recent advancements in clear aligner technology offer a promising alternative. This article explores how clear aligners can be used to manage mesiodens effectively, incorporating insights from the latest research on clear aligner therapy and its application in complex dental cases.
Understanding Mesiodens
Mesiodens, with a prevalence ranging from 0.15% to 1.9%, can cause several dental issues, such as delayed eruption of adjacent teeth, midline shifts, and aesthetic concerns. While mesiodens often require extraction, it is crucial to understand how treatment planning post-extraction has evolved with clear aligner systems. Recent studies show that digital orthodontic planning using clear aligners can offer better predictability and patient satisfaction compared to traditional methods.
Clear Aligners: A Modern Solution for Mesiodens
With the rise of aligner-based treatments, there is growing interest in their use for complex cases like mesiodens. Research from 2024 highlights several advantages of clear aligners when treating supernumerary teeth, particularly in terms of precision, patient comfort, and aesthetic appeal. Here's how clear aligners can help:
Post-Extraction Alignment and Gap Closure:
Extraction of the mesiodens is usually the first step, clearing the path for adjacent teeth to align properly. Recent studies indicate that clear aligners provide effective control over tooth movements post-extraction. By customizing the aligner trays through digital models, orthodontists can precisely guide teeth into their correct positions, ensuring smooth alignment of the upper incisors. The gap closure process is managed predictably through sequential aligner changes, which apply gentle pressure to the teeth.Eruption Guidance for Impacted Teeth:
If mesiodens causes impaction of the central incisors, clear aligners can be used post-extraction to assist in the guided eruption of these teeth. Research published in 2023 has shown that clear aligners, when used with auxiliary tools like eruption tabs, can effectively move unerupted or partially erupted teeth into their proper alignment. This minimizes the need for more invasive procedures like surgical exposure and traditional braces.Crowding and Space Management:
Crowding is a common result of mesiodens, and managing this with clear aligners has proven effective. Studies have demonstrated that aligners can create the necessary space to shift the surrounding teeth while reducing crowding, a process that may take longer with traditional braces. Aligner systems, such as Invisalign, have reported successful outcomes in space management with complex cases, using advanced algorithms to predict tooth movements and adjust treatment plans dynamically.
Challenges of Using Clear Aligners in Mesiodens Cases
Despite the numerous benefits, there are some challenges when treating mesiodens with clear aligners:
Complex Tooth Movements:
Cases involving mesiodens may require more sophisticated movements, especially when dealing with delayed eruption or impacted teeth. Recent research indicates that combining clear aligners with other orthodontic tools, such as attachments or elastics, can enhance the effectiveness of treatment in such complex cases.Phased Treatment Approaches:
In some cases, clear aligners may need to be introduced after initial orthodontic intervention with fixed appliances. A 2024 study found that a hybrid approach—starting with braces or partial fixed appliances followed by aligners—can improve outcomes in mesiodens cases, particularly when there are complications with tooth positioning post-extraction.Close Monitoring and Adjustments:
Clear aligners rely on precise sequencing of tooth movements. A 2023 review emphasized the importance of regular monitoring during treatment, as any deviation from the planned tooth movement may require adjustments to the aligner trays to ensure optimal results.
Advantages of Clear Aligners for Mesiodens Patients
Despite these challenges, recent research supports the use of clear aligners as a highly effective option for treating mesiodens. Key benefits include:
Aesthetic Appeal:
A significant driver for clear aligners is their nearly invisible appearance, which is especially important for patients seeking discretion. According to a 2024 patient satisfaction survey, individuals treated with clear aligners for complex dental issues, including mesiodens, reported higher satisfaction levels due to the treatment's aesthetic benefits.Comfort and Convenience:
The removable nature of clear aligners allows patients to maintain good oral hygiene and eat without restrictions. A 2023 clinical trial showed that clear aligner patients experienced less discomfort and fewer oral lesions compared to those treated with traditional braces.Digital Precision:
Advances in 3D scanning and treatment planning software have made it easier for orthodontists to predict tooth movements with a high degree of accuracy. A recent study demonstrated that digital planning tools used in clear aligner therapy have improved treatment predictability in cases involving complex tooth movements, such as those required for managing mesiodens.
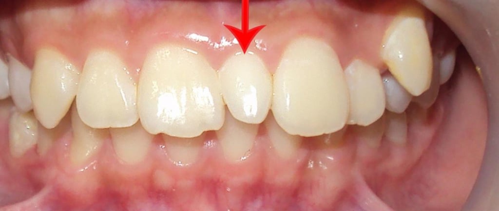
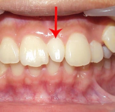
Case Study: Mesiodens Treatment with Clear Aligners
A recent case published in 2024 involved a 13-year-old patient with a mesiodens blocking the eruption of the central incisors. After the mesiodens was surgically extracted, clear aligners were used to guide the eruption of the impacted teeth and correct crowding. Using 3D imaging technology, the orthodontist designed a treatment plan that precisely outlined each stage of tooth movement. Over 18 months, the patient’s teeth shifted into their ideal positions, and the midline was corrected. The patient reported high satisfaction with both the comfort and appearance of the aligners.
Conclusion
Clear aligners offer an innovative and effective solution for managing mesiodens, particularly when combined with advanced digital treatment planning. Recent research supports their use in cases requiring complex tooth movements, showing that aligners can provide the precision and patient satisfaction needed for successful outcomes. While treatment may involve phased approaches and careful monitoring, clear aligners are a comfortable, aesthetically pleasing option for patients with mesiodens who want a modern alternative to traditional braces.
By staying informed of the latest research and innovations in orthodontic technology, both practitioners and patients can confidently consider clear aligners as a viable treatment for managing mesiodens and achieving long-lasting, beautiful results.

Connect
Social Accounts
+1 830 7451 586
Building 595, Block H3, Phase 2
Johar town, Lahore Pakistan
Address
Mail at:
Call at:


ClearCare Ortho offers premium-quality, exceptionally clear, and affordable orthodontic aligner treatments worldwide.
© 2023 Copyright ClearCare Ortho All Right Reserved.
info@clearcareortho.com
