Managing Orthodontic Treatment in Patients with Enamel Hypoplasia
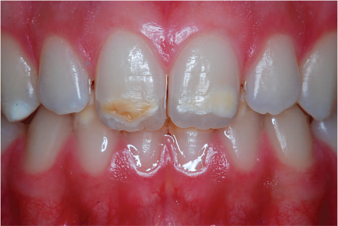
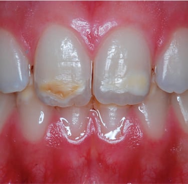
Enamel hypoplasia, characterized by thin, defective, or underdeveloped enamel, poses unique challenges for orthodontic treatment. These patients are more prone to enamel fractures, sensitivity, and an increased risk of caries. Clear aligners, known for their gentler approach compared to traditional braces, can be customized to cater to these patients' needs while minimizing potential risks to their already fragile enamel.
Azeem Jameel
12/11/20242 min read


Managing Orthodontic Treatment in Patients with Enamel Hypoplasia
Introduction
Enamel hypoplasia, characterized by thin, defective, or underdeveloped enamel, poses unique challenges for orthodontic treatment. These patients are more prone to enamel fractures, sensitivity, and an increased risk of caries. Clear aligners, known for their gentler approach compared to traditional braces, can be customized to cater to these patients' needs while minimizing potential risks to their already fragile enamel.
Understanding Enamel Hypoplasia in Orthodontics
Enamel hypoplasia can be congenital or acquired, affecting the structural integrity of the teeth. Key considerations for orthodontic treatment include:
Increased Fragility: Enamel is more prone to wear and fractures during treatment.
Sensitivity: Patients often report heightened sensitivity to thermal, chemical, or mechanical stimuli.
Risk of Decalcification and Caries: The compromised enamel structure makes oral hygiene critical during treatment.
Benefits of Clear Aligners for Enamel Hypoplasia
Clear aligners offer several advantages for managing orthodontic cases in patients with enamel hypoplasia:
Gentle Forces: Aligners apply controlled, gradual forces, reducing the risk of enamel damage.
Minimized Risk of Plaque Accumulation: Unlike braces, aligners are removable, facilitating better oral hygiene.
Reduced Abrasion: Aligners cover the teeth, providing a protective layer that prevents direct abrasion.
Customizing Aligner Therapy
To optimize treatment outcomes for patients with enamel hypoplasia, practitioners must:
Comprehensive Diagnosis:
Use advanced imaging like CBCT scans and intraoral scanners to evaluate the extent of enamel hypoplasia.
Collaborate with a dental specialist for restorative evaluations if needed.
Protective Measures:
Apply fluoride varnishes or remineralizing agents before treatment to strengthen enamel.
Consider custom aligner trays that can accommodate desensitizing gels to manage sensitivity.
Modified Attachments:
Minimize or avoid attachments on affected teeth to reduce enamel stress.
Use smaller, rounded attachments to distribute forces evenly.
Frequent Monitoring:
Schedule more frequent check-ups to assess enamel integrity and oral hygiene status.
Use digital monitoring tools to track progress and detect issues early.
Prevention of Further Damage During Treatment
Educate patients about oral hygiene, emphasizing the importance of brushing with a soft-bristle toothbrush and using enamel-safe toothpaste.
Provide dietary counseling to avoid acidic or hard foods that could exacerbate enamel wear.
Conclusion
Managing orthodontic treatment in patients with enamel hypoplasia requires a tailored approach that prioritizes enamel preservation and oral health. Clear aligners, with their customizable features and gentle mechanics, offer an excellent solution for these cases. By employing protective strategies, monitoring progress closely, and collaborating with other dental professionals, orthodontists can achieve effective treatment outcomes while safeguarding enamel integrity.

Connect
Social Accounts
+1 830 7451 586
Building 595, Block H3, Phase 2
Johar town, Lahore Pakistan
Address
Mail at:
Call at:


ClearCare Ortho offers premium-quality, exceptionally clear, and affordable orthodontic aligner treatments worldwide.
© 2023 Copyright ClearCare Ortho All Right Reserved.
info@clearcareortho.com
