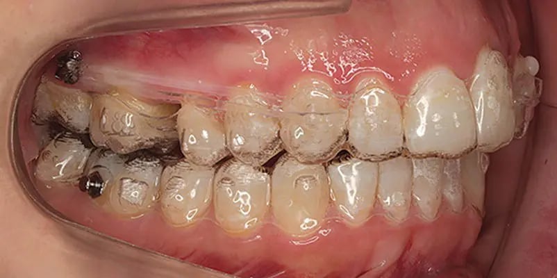
Vertical Control in Molar Distalization Using Clear Aligners
Clear aligners have emerged as a popular orthodontic solution, offering discreet and comfortable treatment options. One area where they have shown promising potential is in molar distalization, a key strategy for correcting malocclusions like Class II or III. However, molar distalization presents unique challenges, particularly in maintaining vertical control during treatment. Let's dive into how clear aligners manage vertical dimensions during molar distalization, with or without the aid of temporary anchorage devices (TADs).
Azeem Jameel
11/25/20242 min read


Vertical Control in Molar Distalization Using Clear Aligners
Clear aligners have emerged as a popular orthodontic solution, offering discreet and comfortable treatment options. One area where they have shown promising potential is in molar distalization, a key strategy for correcting malocclusions like Class II or III. However, molar distalization presents unique challenges, particularly in maintaining vertical control during treatment. Let's dive into how clear aligners manage vertical dimensions during molar distalization, with or without the aid of temporary anchorage devices (TADs).
Why Vertical Control Matters in Molar Distalization
Molar distalization involves moving molars backward to create space for alignment or improve occlusion. This movement can inadvertently alter the vertical dimensions of the jaw, leading to unwanted changes like molar extrusion or open bites. Vertical control ensures the molars remain in the desired position vertically, maintaining harmony in the bite and facial aesthetics.
Clear Aligners and Vertical Control
Clear aligners are designed with precise control over tooth movement, thanks to their digital planning capabilities. During molar distalization, they offer the following advantages:
Control Over Extrusion:
Aligners can minimize extrusion forces on molars, reducing the risk of open bites. Their snug fit and planned pressure distribution help maintain the vertical stability of teeth.Sequential Tooth Movement:
Clear aligners allow molars to move in a controlled sequence, one segment at a time, which can help manage vertical and horizontal changes simultaneously.Custom Attachments:
Strategically placed attachments can enhance the aligner's grip on molars, improving the precision of distalization and vertical control.
Role of Temporary Anchorage Devices (TADs)
In cases where greater control is required, TADs are often used alongside aligners. These small, screw-like devices provide a stable anchor point, minimizing unintended movements during molar distalization. Here's how they contribute:
Enhanced Vertical Stability:
TADs prevent molar extrusion by anchoring adjacent teeth or structures, ensuring the molars only move distally.Skeletal Adjustments:
For patients requiring skeletal changes, TADs can assist in modifying jaw dimensions while clear aligners guide dental alignment.
Balancing Skeletal and Dental Changes
Clear aligners, with or without TADs, can address both dental and mild skeletal discrepancies during molar distalization. However, their limitations must be considered:
Skeletal Adjustments:
Aligners alone may not effectively manage significant skeletal changes, requiring alternative treatments like orthognathic surgery or fixed appliances.Complex Cases:
In cases involving severe vertical discrepancies, TADs or additional mechanics might be necessary to ensure predictable results.
The Verdict
Clear aligners offer a reliable option for molar distalization, particularly for patients seeking an aesthetic, comfortable solution. When combined with TADs, they provide enhanced control over vertical and horizontal dimensions, making them effective even in complex cases. However, achieving optimal results requires meticulous planning and a deep understanding of biomechanics.
As orthodontic technology continues to evolve, future innovations in clear aligner systems and anchorage methods will likely further enhance their effectiveness in managing molar distalization.

Connect
Social Accounts
+1 830 7451 586
Building 595, Block H3, Phase 2
Johar town, Lahore Pakistan
Address
Mail at:
Call at:


ClearCare Ortho offers premium-quality, exceptionally clear, and affordable orthodontic aligner treatments worldwide.
© 2023 Copyright ClearCare Ortho All Right Reserved.
info@clearcareortho.com
